Before and After Gallery
FAQs | Office Visits | Financial Information | Office Tour | Treatment Options | Patient Forms | Before and After Gallery | Testimonials
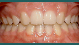
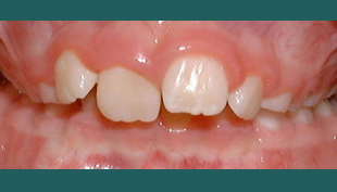
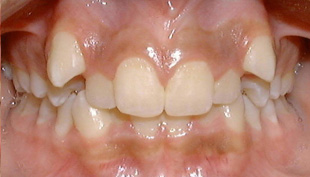
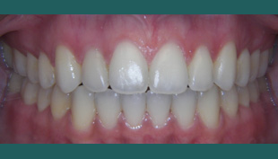
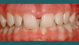
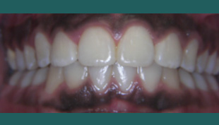
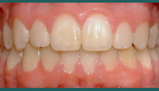
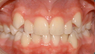
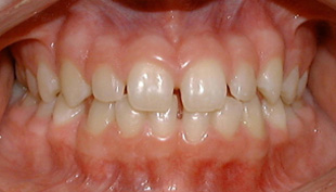
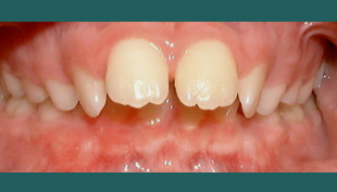
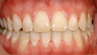
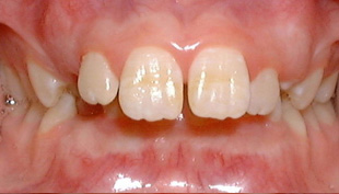
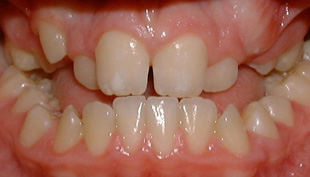
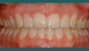
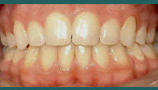
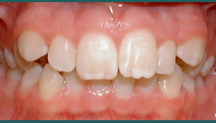
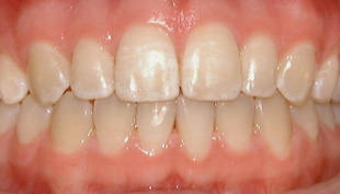
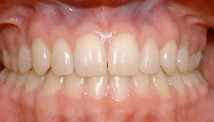
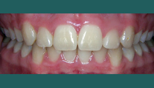
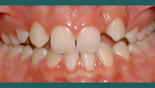
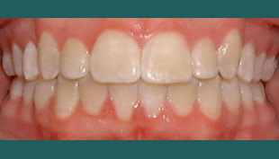
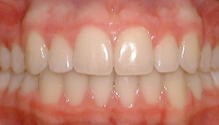
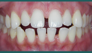
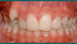
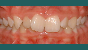
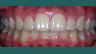
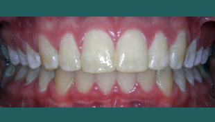
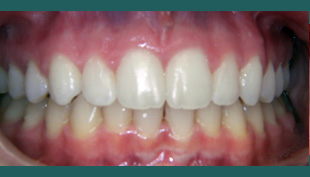
The following cases are actual photos for patients treated by Dr Irvin and his staff.
Before
After


